Other Dental Specialties Annapolis

Aria Dental of Annapolis

Other Dental Specialties Annapolis

Address
1610 West Street
Place
Annapolis, MD   21401 
Landline
(410) 280-5370
E-Mail
ariadental410@gmail.com
Website
www.ariadentalofannapolis.com

Description

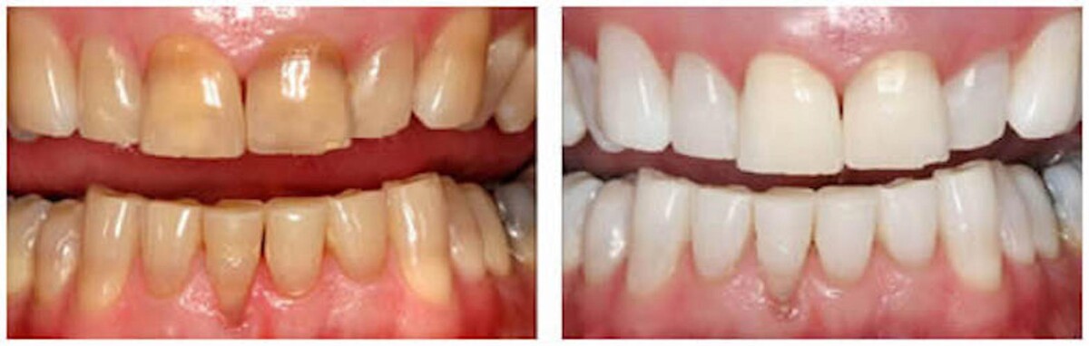
Aria Dental of Annapolis is a dental clinic, emergency dental service and dentist office in Annapolis, MD offering full-service dentistry services so you and your family can get the care you need without having to go to another dental office. Dr. Daniel is a cosmetic dentist and dental implants periodontist who has the skill-set and experience required to provide expert care for everyone in your family. Your comfort and safety are uppermost in our minds at all times, and you'll find nothing but the top equipment and sterilization methods being used in a clean, patient-friendly environment you'll enjoy visiting. Our goal is to learn more about how we can use dentistry to help you live the life you want to live, year-after-year.

Aria Dental of Annapolis can be found at 1610 West Street . The following is offered: Other Dental Specialties, Dentistry - In Annapolis there are 2 other Other Dental Specialties. An overview can be found here.

Reviews

This listing was not reviewed yet:

Opening hours

Categories

Other Dental Specialties, Dentistry
(410)280-5370 (410)-280-5370 +14102805370

Map 1610 West Street

Loading map...